.png)
PRODUCT INFORMATION
S.L.A. surface treatment (sandblasted and acid-etched) enhances osseointegration and long-term stability.


PRODUCT INFORMATION
Commercially pure titanium Grade 4.
Proudly manufactured in the USA, adhering to the highest standards and reflecting a commitment to superior quality.
UNIFORM PROSTHETIC PLATFORM
Commercially pure titanium Grade 4.
Proudly manufactured in the USA, adhering to the highest standards and reflecting a commitment to superior quality.
UNIFORM PROSTHETIC PLATFORM
Seamlessly use any abutments with any implant diameter across the three implant systems.
Streamline your implant restorative procedure and enhance efficiency.
Simplify your inventory and optimize cost-effectiveness.
Easy and fast insertion can be accomplished due to the double-threaded tapered body design.
Features 3 tapered apical cutting flutes, a 3-blade self-tapping design, and a flat end for enhanced precision and control.


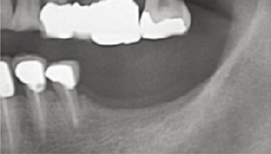
Preoperative Radiography

Implantation (FX4010SWC, FX4008SWC)

Grafting with Osteon II

After 4 months of healing

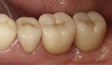
Final Prosthesis

1 year and 6 months follow-up
Have questions or need more details?
Download our catalog for detailed information or contact us.